Dental veneers explained:

Don’t be that person on Tik-Tok… If you haven’t seen the pictures I’m talking about, here you go: YIKES!

Thanks to social media influencers, dental veneers—sadly—have become one of the newer esthetic trends. Due to a lack of easy-to-understand information, few people actually know what a veneer is, though, and even fewer know what differentiates a good veneer from a bad one. Our mission with this post is simple — to provide you:

  1. A brief overview of what a dental veneer is

  2. Different types of veneer materials

  3. How to tell a good veneer apart from a bad one

  4. What might make someone a good candidate for veneers

Less typing, more explaining…

What is a dental veneer?

The literal definition of veneer (thanks Webster) is “a thin sheet of material”, used especially to conceal something, such as a defect of character.

Dental veneers, put simply, are a thin layer of restorative material, usually either a resin composite material or porcelain, bonded to a tooth to change its shape, size, or color.

Crowns are often confused with (or mislabeled as) veneers, but comparing the two is comparing apples to oranges.

  • Veneer = thin layer of material bonded to a tooth’s outside-facing surface only

  • Crown = a “cap” that covers the entire tooth

Porcelain veneer

Porcelain veneer

Crown

Different veneer materials

Resin/composite

When people say “bonding”, they’re usually referring to resin/composite. This is the same material used for fillings used to treat cavities. When a veneer is made from composite, they’re usually sculpted by hand, in the dental chair, and done in a single day. While they’re able to be completed faster and usually less expensive than the alternative, porcelain, they have several downsides.

Pros of resin/composite:

  • If you’re on a budget and need a short-term solution, this may be an acceptable option

Cons of resin/composite:

  • Sculpting by hand (freehand) usually means there can be voids or distortions in the material. This weakens the material and causes it to break and stain easier. This method is difficult to do, even for the most skilled dentists.

  • The adhesive (bonding) material used for resin/composite usually isn’t as strong as an adhesive cement used for other materials, like porcelain, which means composite veneers are generally more likely to break or fall off

  • The amount of detail you can add to the restoration is much more limited. Specialized dental laboratories with master technicians are needed to recreate high-esthetic, life-like restorations. The detail, or personality, of your teeth includes things like:

    • Chromacity

    • Value

    • Intensity

    • Opalescence

    • Characterizations

Porcelain:

Porcelain veneers are thin, custom-fabricated layers of porcelain that are bonded to a tooth’s prepared surface. Rather than being made in a single appointment, like resin/composite veneers, porcelain veneers require at least two appointments (sometimes more, depending on the complexity of the case). After being examined by your dentist and agreeing to a treatment plan for porcelain veneers, subsequent appointments are typically as follows:

  • Appointment #1 — Teeth are “prepared”, an impression of the prepared teeth is taken, and temporary veneers are made and bonded to teeth.

The impression taken is sent to a dental laboratory with master technicians specialized in making high-esthetic restorations. The quality of the dental lab used is an important factor that can significantly impact the final result.

  •  Appointment #2 — Temporary veneers are removed, permanent veneers are tried in, and (if the patient is happy) veneers are permanently cemented.

As mentioned before, sometimes additional appointments are necessary for more complex cases. A dental professional should be able to tell you before beginning your treatment how many appointments are needed and why.

Pros of porcelain:

  • Natural, life-like appearance — chromacity, value, intensity, opalescence, character

  • Stronger

  • Longer-lasting

  • More resistant to staining over time

Cons of porcelain:

  • They usually take longer to make, because your dentist has to send an impression of your prepared tooth to a dental laboratory. The lab receives the impression, a technician that is trained in fabricating restorations makes the porcelain veneers, and they mail them back to the dental office for cementation. This usually means at least two appointments (with usually 1-2 weeks between appointments), during which time you’ll be wearing temporary veneers

  • Usually more expensive

Material makes a huge difference! Let’s compare some examples of resin/composite vs. porcelain veneers:

Notice that the porcelain veneers (the ones in the before & after pictures) have a very natural appearance; natural and symmetric shape, color, and size; difference in amount of translucency at different parts of the tooth, and healthy, pinkish gums.

The resin/composite veneers, on the other hand, look very bright white and opaque. There is no translucency, as you would see in a natural tooth, no characterizations that give the tooth natural life-like personality, and even the gums appear reddish and puffy (a sign of unhealthy inflammation). While these may have cost a fraction (lets say 1/3) of what the porcelain veneers cost, they will likely have to be replaced or repaired at least three times throughout these young patients’ lives because of how much weaker and prone to staining the material is.

As the saying goes, “cheap is expensive”… it’s better to invest and to things the right way than take a shortcut and deal with years of potential problems and additional repair/replacement costs.

Differences in chromacity, value, intensity, opalescence, and character make an enormous difference in light reflectance and the way a restoration appears to the human eye. The veneer on the left will appear much more life-like and natural than the one on the right. These variations can only be created by a skilled dental laboratory technician or master ceramist.

How do I know what a good veneer is?

There are a few main categories that we, as dentists, consider when determining what makes a “good” veneer.

  1. Natural, life-like esthetics — Restorations (the veneers) that have variation in chromacity, value, intensity, opalescence, and character.

  2. Veneers that allow the patient to function normally — This means that speech and chewing ability should be comfortable.
    Any changes to a tooth’s shape and/or size can impact speech and chewing. A trained dentist will know to evaluate your occlusion (a.k.a. your “bite”, the way your teeth come together) BEFORE making your veneers. If this step is skipped, the bite may be significantly compromised. These patients usually have recurring fractures or other issues because of the way their teeth or restorations come together when they bite.

  3. Healthy surrounding tissues (gums) — Veneers with a natural shape should be kind to the gums. Pinkish gums that do not bleed are a sign of healthy gums. On the other hand, reddish gums that appear puffy or inflamed, and possibly bleed during brushing or flossing, are a sign of unhealthy gums that may be a result of an unnatural veneer shape.

  4. No pain or sensitivity!
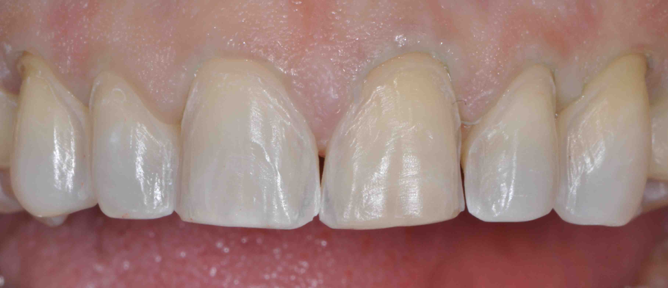
    The way your dentist prepares your teeth is a big factor in the risk of post-operative sensitivity or pain. What do we mean with “preparation”…? In most cases, a dentist has to “shave” or “cut” a tooth, removing tooth structure, in order to make room for the new material that’s going to be applied. If this isn’t completed, there is a risk of the veneers looking too big and bulky, possibly also pushing your lip outwards into an unnatural position. Put simply, it just wouldn’t look right.
    That being said, you also don’t want to prepare too much, as this can cause chronic irritation of the nerve and possibly post-operative sensitivity or pain. True veneer preparations are as conservative as possible, usually only preparing the outside, lip-facing surface of the tooth and attempting to keep as much enamel as possible, as bonding strength to enamel is much stronger than it is to the underlying dentin. Crown preparations are more aggressive by design, preparing all surfaces of the tooth and usually removing the entire outer enamel layer.

A conservative preparation of the front six teeth for veneers. The risk of post-operative sensitivity or pain here is lower when compared to more aggressive preparations. The strength of the bond to the enamel will also be stronger.

A more aggressive preparation for a full-coverage restoration (i.e. crowns). A true veneer preparation should never look like this.

What might make me a good candidate for veneers?

  1. Significant intrinsic staining or discoloration

  2. Desire to improve cosmetics/appearance, but unable or unwilling to complete orthodontic movement of teeth (braces or Invisalign) and possible whitening

  3. No occlusion-related disorders or habits, such as grinding or clenching of teeth. A person with severe grinding will destroy veneers if the grinding disorder is not treated first.

  4. Good oral hygiene! For restorations (crowns, fillings, veneers, etc.) to last a long time, you have to have impeccable oral hygiene. A responsible dentist will counsel you on oral hygiene habits before beginning any sort of elective cosmetic treatment

Questions to ask your dentist:

Click to email for complimentary case review.

If you’re considering dental veneers, email us to review your specific case and come up with a list of personalized questions to ask your dentist. We provide this service to our readers at no cost.


Previous
Previous

Dental floss: why it’s so important

Next
Next

Electric toothbrushes: a straightforward guide